CIOR Imágenes es un centro de imágenes odontológicas y maxilofaciales, único en la región por sus prestaciones de alta complejidad en el diagnóstico por imágenes dento-maxilo-facial.

Radiografía seriada
Las radiografías periapicales aportan excelentes imágenes suplementarias para determinación del nivel óseo y son esenciales para evaluar la relación corono-radicular, la morfología radicular, el espacio del ligamento periodontal, lesiones periapicales, proximidad radicular, sinusal y otros hallazgos.

Radiografía panorámica (ortopantomografia)
Estudio radiológico de rutina donde se observan piezas dentarias, sus tejidos de soporte y estructuras anatómicas adyacentes. Es una radiografía bidimensional, es decir, una imagen plana de un objeto tridimensional.

Radiografía de ATM
Es una radiografía extra oral que permite estudiar estructuras oseas de las articulaciones temporo-mandibulares en posiciones de oclusión y apertura máxima.

Radiografía carpal
Es una radiografía que es para estimar la edad ósea y comprarla con la edad cronológica. Usada en odontopediatría, ortodoncia, odontología legal y forense.

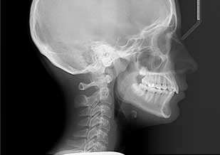
Telerradiografía lateral de cráneo
Estudio extra oral que ofrece una visión lateral de las estructuras de interés, resulta imprescindible para un correcto diagnóstico ortodóntico y en cirugía ortognática.

Telerradiografía frontal de cráneo
Estudio extraoral del cual se obtiene una imagen frontal de las estructuras de interés, imprescindible para el estudio de asimetrías faciales. Dentro de técnicas frontales, se incluyen aquellas que permiten observar senos paranasales, fundamentalmente maxilares.

Estudios cefalométricos computarizados.
Técnica de gran utilidad en ortodoncia que permite obtener medidas de cráneo a partir de una telerradiografía para establecer puntos anatómicos, medir distancias y relaciones de unos con otros.

Tomografia Cone Beam
Nos permite obtener una reconstrucción tridimensional del esqueleto maxilofacial con una considerable menor dosis efectiva de radiación en comparación a la TAC. Se puede valorar con la misma: piezas dentarias y estructuras adyacentes, senos frontales, etmoidales y paranasales, articulación temporo-mandibular y macizo cráneo- facial.

Digitalización de modelos e impresiones 3D.
De gran utilidad en ortodoncia, permite almacenar todos los modelos en formato digital. El paciente puede observar la evolución de su casa en 3D.
